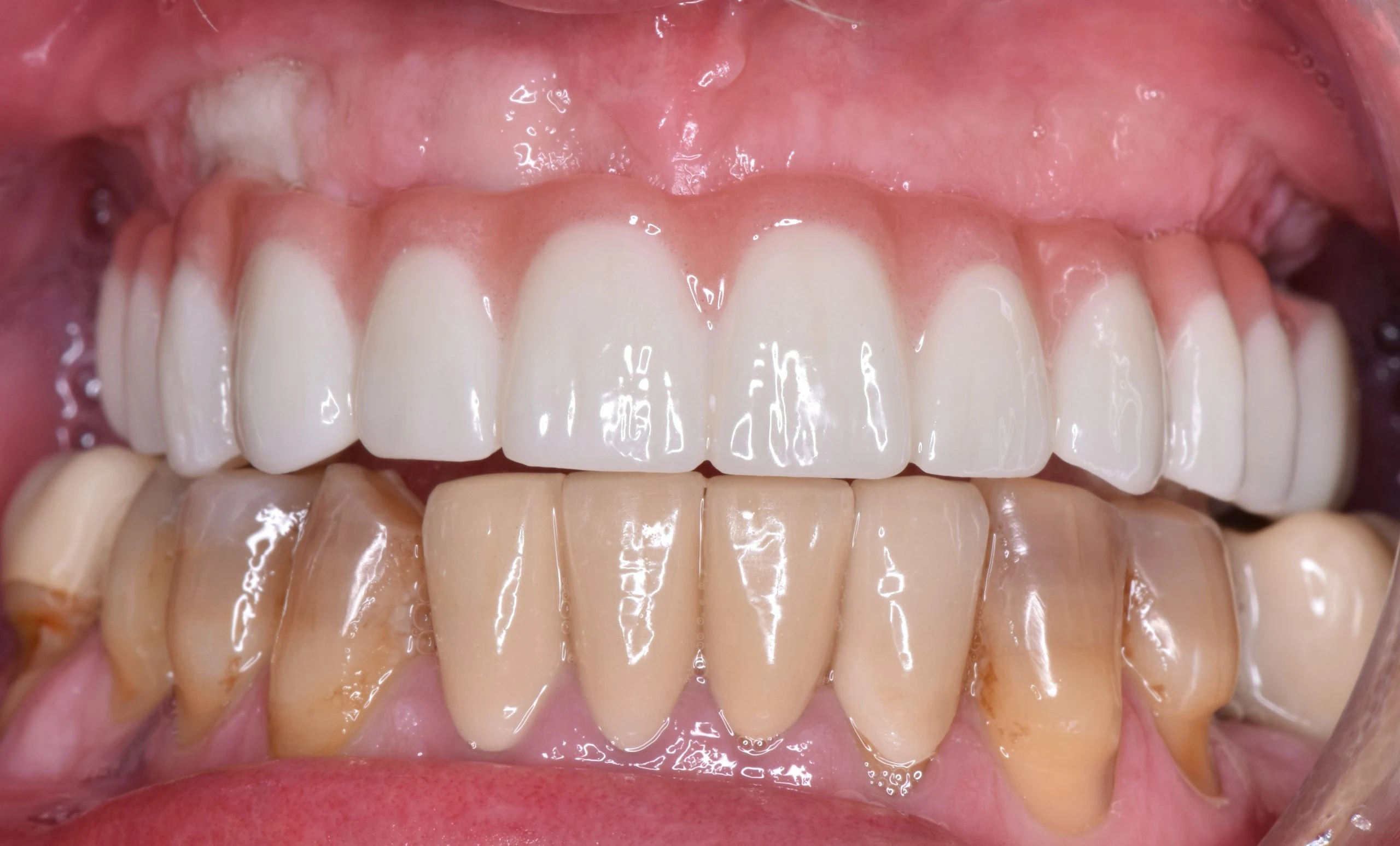
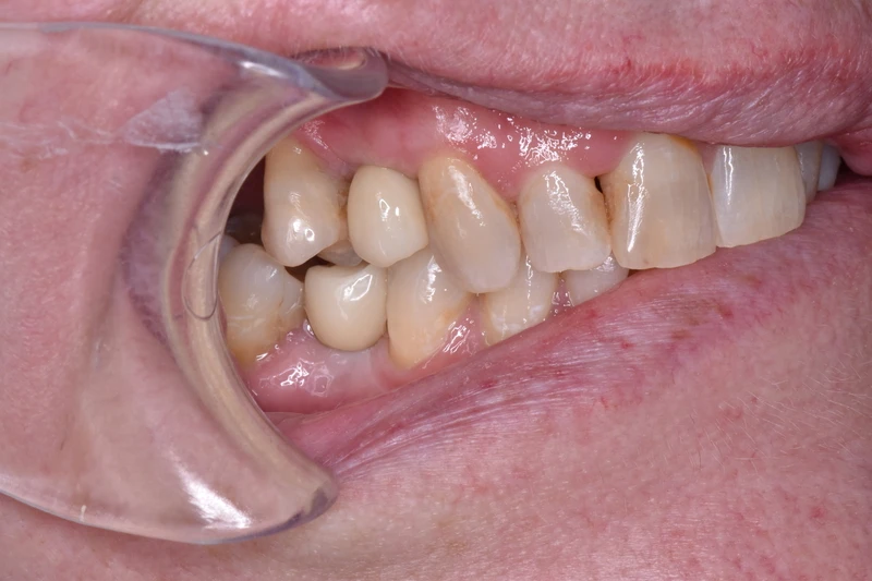
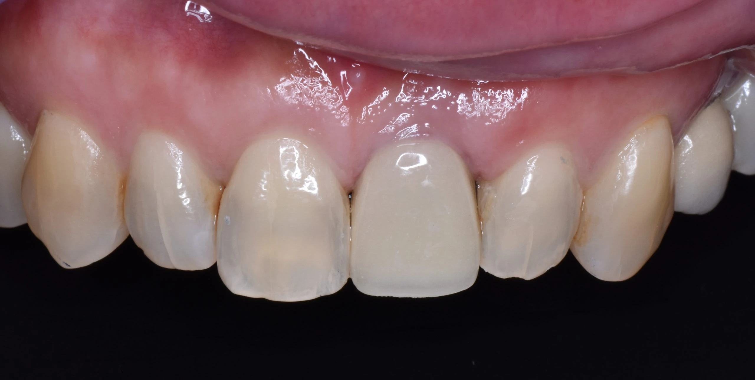
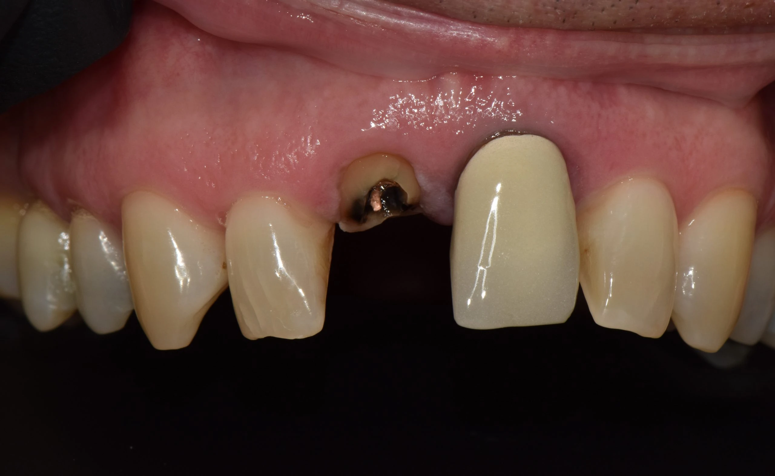
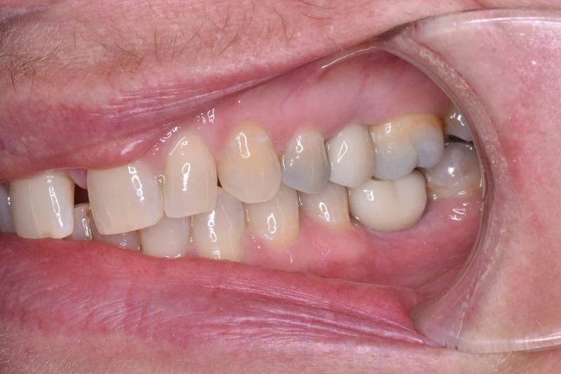
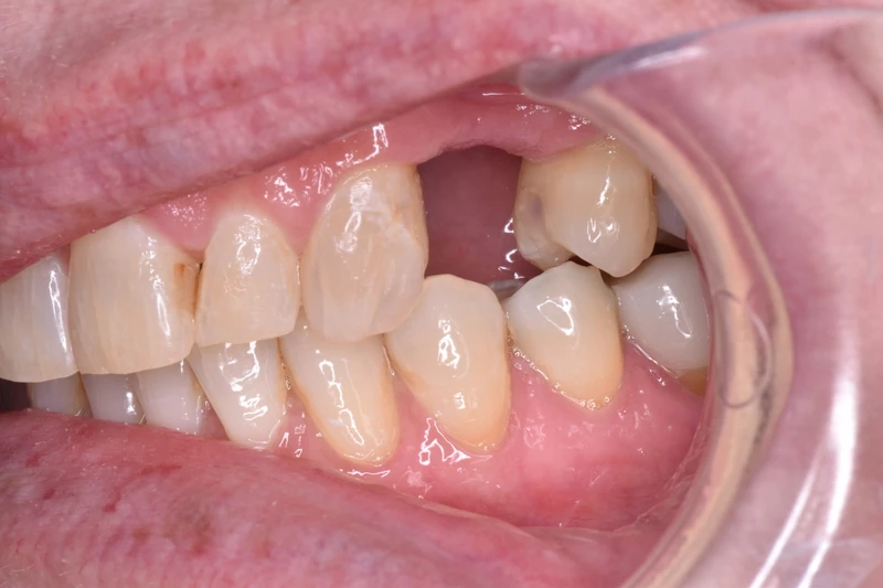
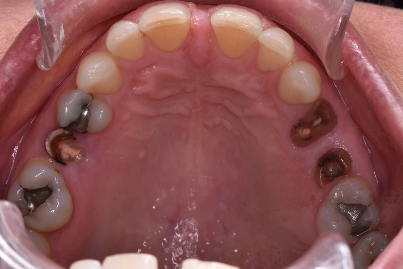
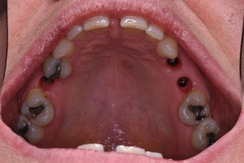
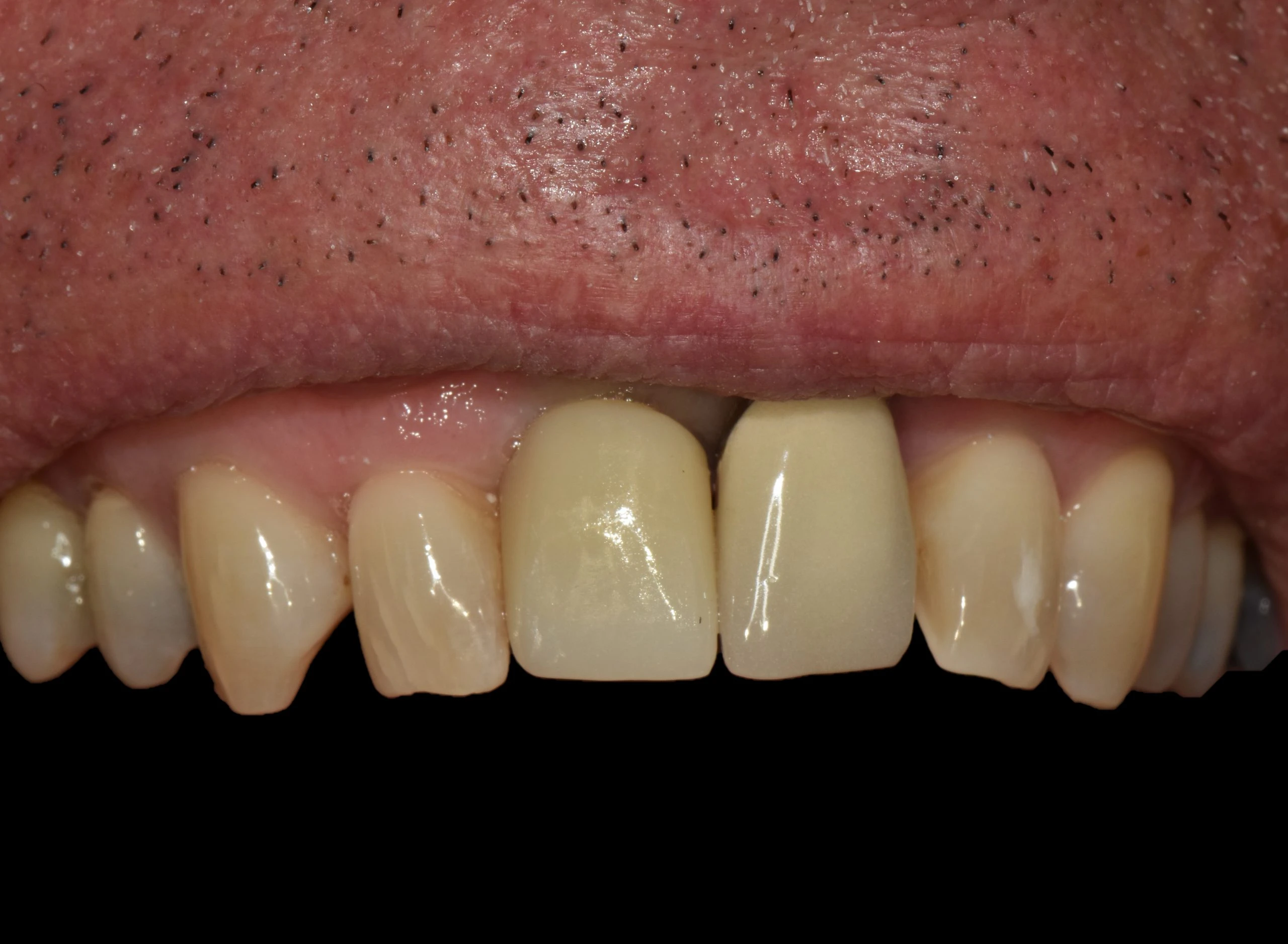
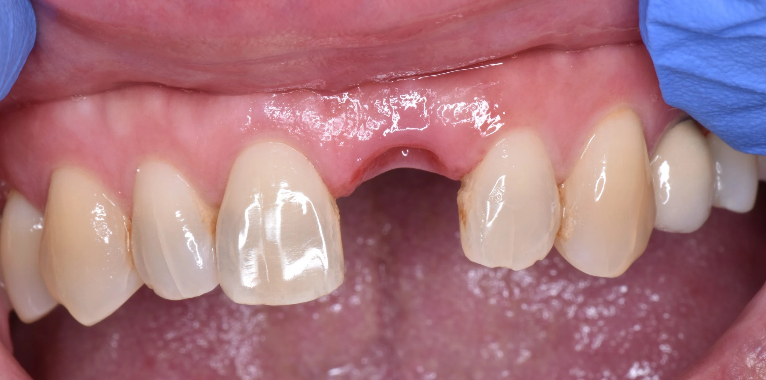
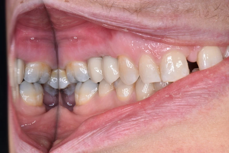
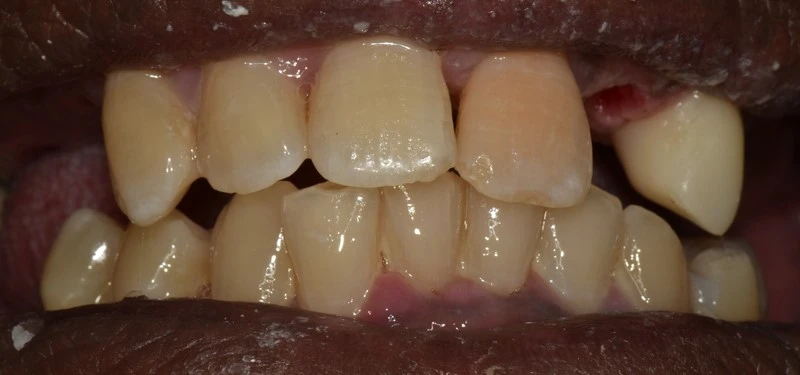
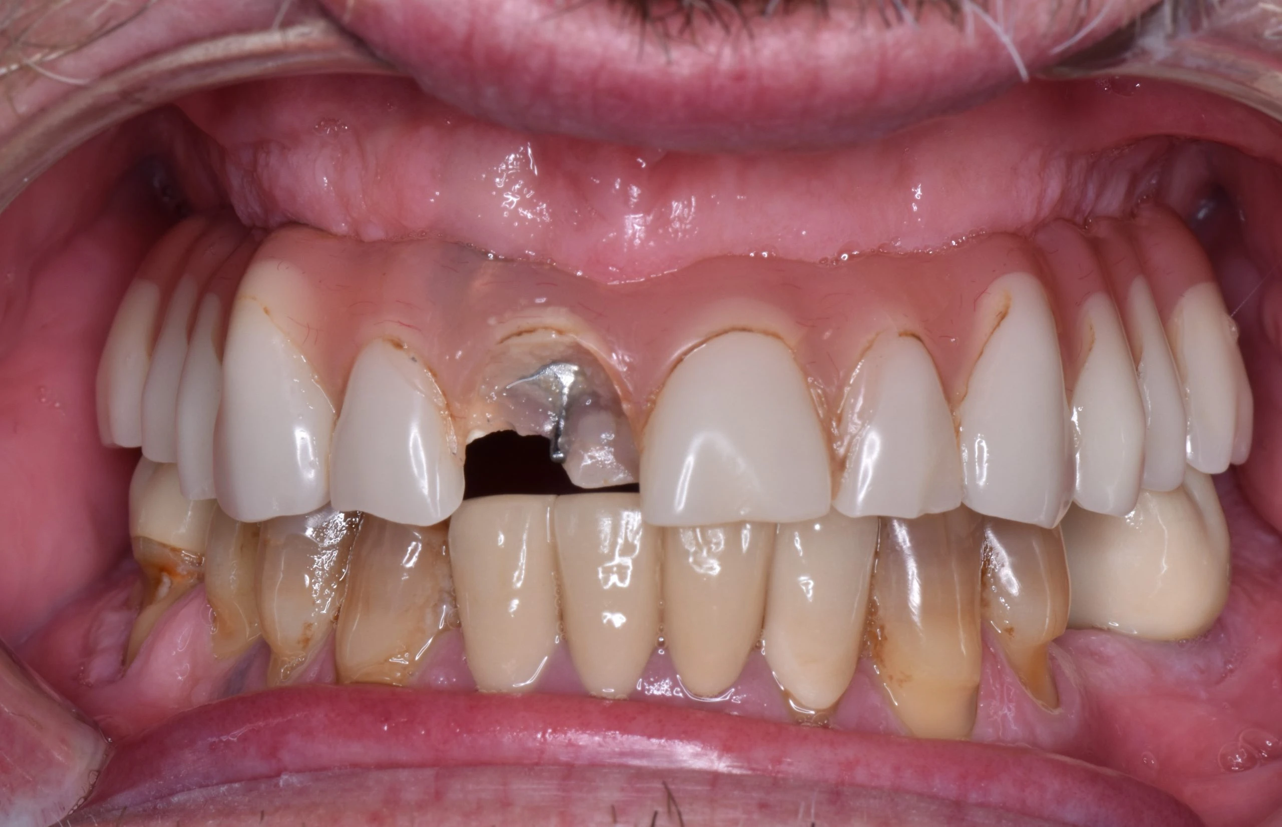
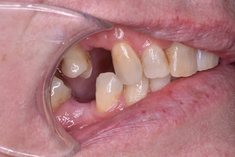
This content is provided for general educational information only and is not intended to advertise, endorse, or promote any particular medical/dental or cosmetic procedure; all treatment carries risks and suitability, outcomes, and costs vary between individuals, so please seek personalised advice and a full consent discussion with your own dentist/registered dental practitioner—cases shown were completed by Dr Ho Jun Eom (DEN0002459497).
