Welcome to Napol Dental & Implant Clinic
If you’re exploring full-arch implant bridges, understanding the differences between 3-On-6™ (FB1/FB2) and traditional FB3 bridges (such as All on 4) is critical:
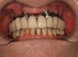
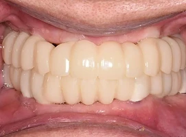
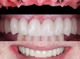
- Pink Porcelain: Traditional FB3 bridges often require bone removal to create space for pink porcelain, mimicking the gum line. 3-On-6™ (FB1/FB2) preserves your natural bone and gum tissue, avoiding unnecessary bone removal, resulting in a more natural appearance.
- Natural Appearance: With 3-On-6™, there’s no need for artificial pink porcelain. Your own gums provide the natural look. FB3 bridges, on the other hand, use pink porcelain, which can sometimes appear less natural, particularly with a high smile line.
- Bone Preservation: 3-On-6™ ensures your natural bone structure remains intact. Traditional FB3 systems require significant bone removal, which can lead to long-term bone resorption. 3-On-6™ preserves as much bone as possible, protecting your jawline and facial structure over time.
Easier Cleaning, Less Risk of Implantitis
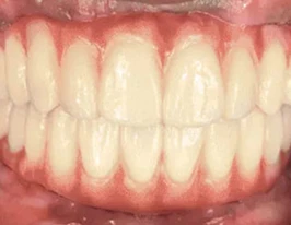
3-On-6™ (FB1/FB2) not only looks natural, but it also functions like natural teeth. One major advantage is ease of cleaning. Just like your natural teeth, 3-On-6™ allows for thorough brushing and flossing, making oral hygiene much easier.
In contrast, traditional FB3 systems (All on 4) often trap food particles and bacteria under the bridge, making them difficult to clean. This can lead to the development of implantitis—an infection around the implant, which can cause implant failure over time. With 3-On-6™, this risk is minimized, ensuring better long-term health for your implants.
Denture & Implant Options
Comparison
Cost
$1800 per arch
$10000 per arch
$28000 per arch
$28000 per arch including Zirconia Ceramic Teeth
Natural Gum and Bone Retained
Full gum coverage with artificial tissue
Retains some natural gum, but with slight bone loss over time
Requires bone removal to create space for pink porcelain
No unnecessary bone removal
Aesthetic Appeal
Artificial gum tissue and teeth
Improved aesthetics with implants
Pink porcelain used to mimic gum tissue
Natural look, no pink porcelain
Bone Preservation
Bone loss over time
Bone loss occurs gradually, though slower than with dentures
Bone reduction needed to accommodate pink porcelain
Maintains natural bone structure
Cleaning & Hygiene
Requires removal for cleaning
Needs to be removed for cleaning
Difficult to clean beneath, leading to implantitis risk
Easily cleaned like natural teeth
Full Arch treatment Option
FP1 (No Pink)
FP1 (No Pink)
FP1 (No Pink)
Financial Options for Your Implant Treatment
We understand that implant treatments are a significant investment, but you don’t have to go through the process alone. Here are two convenient financial options to make your treatment more affordable:
Accessing Superannuation Early:
Did you know that you can apply to access your superannuation early for essential dental treatments? This can help ease the financial burden for full-arch implant solutions like 3-On-6™. You can explore more information about early access through a simple application process.
Weekly Payment Plans:
We’ve partnered with National Dental Plan (NDP)to offer flexible, weekly payment options. With NDP, you can break down the cost of your treatment into manageable, interest-free payments over time, allowing you to proceed with confidence without upfront financial stress.
Learn more at National Dental Plan (NDP)
Contact us Ready to Explore 3-On-6™?
If you're seeking a full-arch implant solution that preserves your natural gum and bone tissue, while providing long-lasting stability and easy maintenance, 3-On-6™ could be the ideal option for you.
